新闻热线:0722-3318927 投稿邮箱:szrbs@21cn.com

何店镇中心卫生院成功开展髌骨钢板内固定手术
分享到: 发布时间:2026-3-31 17:01

字号: 打印 查看: 478
医共体赋能强基层 专家下沉暖民心
——何店镇中心卫生院成功开展髌骨钢板内固定手术
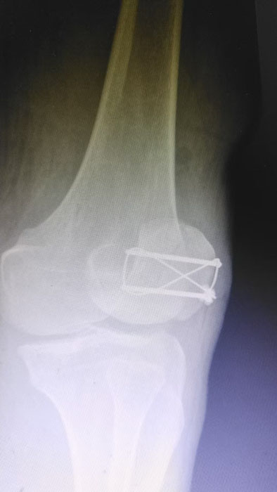
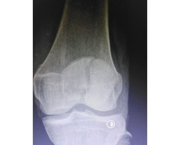
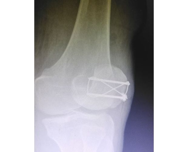
    随州新闻网讯 (通讯员王静、陈勇)为深入推进紧密型医共体建设,切实让辖区群众在家门口就能享受到优质、便捷的医疗服务,以医疗便民举措为优化营商环境注入健康活力,3月31日中午,何店镇中心卫生院(随州市曾都区人民医院何店分院)依托医共体资源优势,特邀曾都区人民医院脊柱创伤外科主任徐三军到该院,成功为一名47岁髌骨骨折患者实施髌骨骨折切开复位内固定手术,用专业诊疗守护群众健康,用务实行动践行便民宗旨。

精准对接 高效联动,筑牢手术保障
    该患者因意外外伤导致髌骨骨折后,紧急前往何店镇中心卫生院就诊。该院外科医护团队迅速响应、规范处置,第一时间为患者完善各项术前检查,全面细致评估患者身体状况及骨折伤情,精准把握手术指征。为最大限度保障手术安全与治疗效果,切实减少患者往返城区医院的奔波之苦,降低就医成本,该院立即启动医共体专家协作机制,正式向曾都区人民医院申请专家技术支持。接到申请后,徐三军主任快速响应、主动下沉,带着丰富的临床经验和精湛的手术技术赶赴卫生院,与该院外科医护团队深入研讨,结合患者具体病情制定个性化手术方案,细致梳理术前各项准备工作,为手术顺利开展筑牢坚实基础。

精湛施术 安全有序,守护患者健康
    手术现场,徐三军主任凭借多年积累的临床经验和娴熟的手术技巧,精准完成骨折复位、钢板内固定、伤口缝合等一系列关键操作,动作规范流畅、精准高效,最大限度减少手术创伤。该院外科医护团队全程密切配合、协同发力,严格按照手术规范操作,全程严密监测患者心率、血压等生命体征,及时应对术中各类突发情况,全力保障手术安全。此次手术全程顺利,术中出血量少,患者生命体征始终平稳,术后患者顺利安返病房,为后续康复治疗奠定了坚实基础。

传帮带教 精准赋能,提升基层能力
    此次手术不仅是一次成功的临床救治实践,更是一堂生动鲜活的“实战教学课”。手术过程中,徐三军结合自身临床经验,同步向该院外科医护人员讲解髌骨骨折手术的操作要点、规范流程、风险防控技巧及术后康复核心要点,采取“手把手”带教、点对点指导的方式,耐心解答医护人员提出的疑问,帮助基层医护人员理清诊疗思路、提升操作能力。此次带教有效提升了卫生院外科团队在骨科手术及围手术期管理方面的专业水平,为基层医疗服务能力持续提升注入了强劲动力。

便民利民 务实履职,优化营商环境
    本次专家下沉开展手术,真正实现了“患者不动专家动”,让患者无需远赴城区医院排队等候,在家门口就能享受到三级专家的优质诊疗服务,既节省了就医时间和交通、陪护成本,又切实减轻了患者的就医负担,有效破解了辖区群众“看病远、看病难”的痛点难点问题。这既是该院依托医共体资源、践行以人民健康为中心发展思想的生动实践,更是以优质医疗服务优化辖区营商环境、守护群众生命健康的务实举措,切实以健康保障助力群众安心就业、企业安心发展。

    下一步,何店镇中心卫生院将持续深化与曾都区人民医院的紧密型医共体协作,常态化邀请上级医院专家下沉开展坐诊、手术指导、教学查房等活动,不断吸纳先进诊疗技术和管理经验,着力提升基层医疗服务能力和水平,为辖区群众提供更便捷、优质、高效的健康保障,以坚实的医疗力量助力营商环境持续优化,为社会高质量发展贡献基层医疗力量。
(责任编辑:云起风生    新闻热线:0722-3318927)
请稍等,努力加载中...
随州日报-新媒体矩阵
随州发布-微信公众号
随州日报-微信公众号
随州论坛-微信公众号
随州日报-微博
随州日报-人民号
随州论坛-客户端APP
随州日报-视频号
随州日报-抖音号
随州日报-企鹅号
随州论坛-网易号
网络经济主体信息
随州地区唯一新闻网站| 主管:中共随州市委宣传部|
主办:随州日报社| 关于我们
随州日报社版权所有,未经书面授权禁止使用!
新闻信息服务许可证42120180011
鄂ICP备11004182号-2|
鄂公网安备 42130202003119号|
鄂网备421201|
互联网视听节目服务AVSP:鄂备2018021号
网络内容从业人员违法违规行为/违法和不良信息
举报电话:0722-3318927
邮箱635782607@qq.com
广告服务电话:13908660920光明左使(刘先生)
返回顶部