新闻热线:0722-3318927 投稿邮箱:szrbs@21cn.com
曾都区人民医院专家赴何店镇中心卫生院开展技术帮扶
分享到: 发布时间:2026-2-7 09:53

字号: 打印 查看: 384
医共体帮扶温暖基层 专家亲诊守护健康  
——曾都区人民医院专家赴何店镇中心卫生院开展技术帮扶  
    随州新闻网讯 (通讯员王静、陈勇)医共体心连心,诊疗零距离。为切实提升基层医疗服务能力,让群众能在家门口享受到优质、高效的三级医院医疗资源,以高水平医疗技术优化营商环境,2月6日14时,曾都区人民医院医共体外科专家团队来到何店镇中心卫生院,开展技术帮扶活动,成功为一名骨折患者实施手术精准解剖复位,并以“手把手”带教模式,实现诊疗服务与手术技能提升双促进。

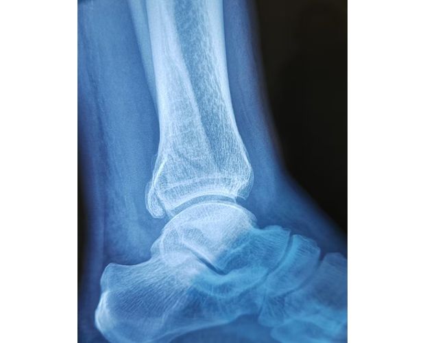
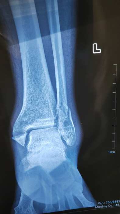
   2月4日,何店镇中心卫生院接诊一名左踝关节外伤患者,经影像检查,确诊为左胫、腓骨下段骨折。外科医生姜稳迅速完成术前检查及病情评估,并与患者及家属深入沟通治疗方案。在患者强烈要求于本院进行手术的情况下,为最大限度保障手术质量与安全,该院特邀请医共体牵头单位——曾都区人民医院脊柱创伤外科专家团队前来指导。  

   本次帮扶由曾都区人民医院脊柱创伤神经外科主任徐三军带队,专家团队抵达后立即完成手术风险评估及术前准备。手术过程中,徐三军主任严格规范完成各项手术操作,并同步结合手术步骤,为该院外科医师详细讲解骨折手术的关键要点、操作技巧、术中注意事项及术后康复要领。通过“手把手”的实战带教,专家将丰富的手术经验与规范的诊疗思路倾囊相授,让该院医护人员在实操中学习,在过程中成长。

    此次医共体专家下沉帮扶,不仅成功为患者解除了病痛,让群众在家门口即享优质、便捷的三甲医院专科手术服务,更通过“手术带教、现场指导”的实战模式,显著提升了该院在骨折诊疗和手术操作等方面的专业能力,为基层医疗服务水平提升注入强劲动力。

    下一步,何店镇中心卫生院将以医共体建设为契机,持续深化与曾都区人民医院的合作,借力专家帮扶优势,在技术提升、人才培养、诊疗规范等方面精准发力、持续深耕,推动更多优质医疗资源下沉基层、扎根基层,切实解决群众“看病远、看病难”的问题,以更专业、更优质的医疗服务优化营商环境,全力守护辖区群众生命健康。
(责任编辑:云起风生    新闻热线:0722-3318927)
请稍等,努力加载中...
随州日报-新媒体矩阵
随州发布-微信公众号
随州日报-微信公众号
随州论坛-微信公众号
随州日报-微博
随州日报-人民号
随州论坛-客户端APP
随州日报-视频号
随州日报-抖音号
随州日报-企鹅号
随州论坛-网易号
网络经济主体信息
随州地区唯一新闻网站| 主管:中共随州市委宣传部|
主办:随州日报社| 关于我们
随州日报社版权所有,未经书面授权禁止使用!
新闻信息服务许可证42120180011
鄂ICP备11004182号-2|
鄂公网安备 42130202003119号|
鄂网备421201|
互联网视听节目服务AVSP:鄂备2018021号
网络内容从业人员违法违规行为/违法和不良信息
举报电话:0722-3318927
邮箱635782607@qq.com
广告服务电话:13908660920光明左使(刘先生)
返回顶部